
BAE Internal Medicine
대장내시경 검사란?
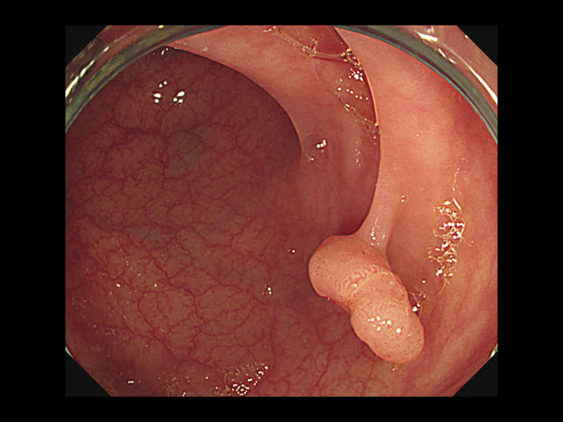
대장내시경 검사는 매우 작은 카메라가 달린 관 형태의 기구로 직장부터 대장 내부를 관찰하여 암, 염증이나 궤양 등을 진단하는 검사입니다.
필요에 의해서는 즉각적인 치료까지 가능합니다.
현대인의 식생활이 점차 서구화됨에 따라 대장암, 대장용종 등의 대장 질환을 걱정하는 수준에 이르렀으며 조기 진단과 치료를 위해 대장내시경이 보편적으로 시행되고 있습니다.
대장내시경 검사는 매우 작은 카메라가 달린 관 형태의 기구로 직장부터 대장 내부를 관찰하여 암, 염증이나 궤양 등을 진단하는 검사입니다. 필요에 의해서는 즉각적인 치료까지 가능합니다.
현대인의 식생활이 점차 서구화됨에 따라 대장암, 대장용종 등의 대장 질환을 걱정하는 수준에 이르렀으며 조기 진단과 치료를 위해 대장내시경이 보편적으로 시행되고 있습니다.
BAE Internal Medicine
증상이 없을 경우에도 대장내시경을 받아야 하나요?
대부분의 대장암은 다른 암처럼 갑작스럽게 발생하지 않으며 선종성 용종의 단계를 거쳐 서서히 암으로 진행합니다.
따라서 대장용종 단계에서 제거할 경우 대장암을 예방할 수 있습니다.
그러나 대장용종은 증상이 없으며 혈변이나 장폐색 등 증상이 나타날 경우에는 이미 대장암으로 진행한 상태일 경우가 많습니다.
따라서 증상이 없어도 대장내시경 검사를 시행하여 대장용종을 발견하고 제거하는 것이 대장암 예방을 위해서 매우 중요합니다.
내시경을 삽입하여 식도, 위, 십이지장 등에 나타나는 소화기질환 검사 방법입니다.
식도나 위 혹은 십이지장에 발생하는 여러 종류의 질환을 진단하는 데 있어서 가장 기본적인 검사입니다.
위암, 위궤양, 식도염 등을 진단하며 이상이 발견되는 즉시 조직검사를 할 수 있어 보다 정확한 진단이 가능합니다.
검사 전 주의사항
검사 시 주의사항